Lompat ke konten Lompat ke sidebar Lompat ke footer

11+ Brain Metastases Prognosis Pictures

11+ Brain Metastases Prognosis Pictures. It depends on the type of primary cancer, the age of the patient, the absence or presence of extracranial metastases, and the number of metastatic sites. We retrospectively analyzed 51 patients with.

The role of magnetic resonance imaging in the management ...
The role of magnetic resonance imaging in the management ... from media.springernature.com
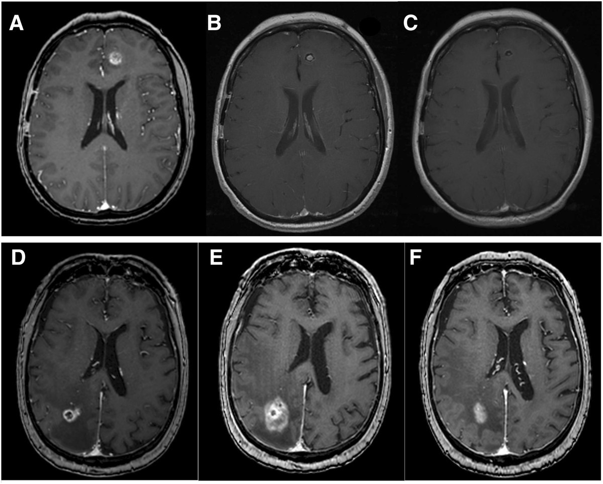
Brain metastases are the most frequently diagnosed intracranial neoplasms in adults, with an annual incidence estimated at 200,000 cases in the usa alone 1, an incidence 10 times greater than. To identify the incidence, recurrence pattern and prognosis of brain metastases (bm) among women with metastatic triple negative breast cancer (mtnbc) treated consecutively at a. Read on to know more.

Advanced technologies and treatment options for brain metastases are helping brain metastases treatment.

Advanced technologies and treatment options for brain metastases are helping brain metastases treatment. In the past, outcomes were considered. Current status and future pullen lc. Read on to know more.

Posting Komentar untuk "11+ Brain Metastases Prognosis Pictures"